
In order to fight the coronavirus epidemic, health care systems take all possible measures, including quarantining patients, closing schools, and canceling mass events. New digital technologies are also helpful, especially telemedicine, robotics, and artificial intelligence. Here are a few examples.
Telemedicine
Airborne diseases quickly spread in densely populated areas. In the last few weeks, we have observed the rapid expanse of coronavirus in a globalized world, and how easily it can cross continents and national borders. Not all countries are capable of taking as far-reaching measures as China, where multi-million population centers have been locked out. But with digital technologies, it’s at least possible to replace face-to-face interactions with their digital supplements.
The problem also applies to the common cold and flu viruses, which are contracted by millions of people every year. According to the World Health Organization, up to 5 million flue cases are reported around the world every year. 650,000 people die. Paradoxically, a sick patient going to a doctor’s appointment to get help may infect several other people along the way, for example, on public transportation or in the waiting room.
In Wuhan, where health centers are literally besieged, the chances of getting to a doctor are severely limited. No wonder that the biggest telemedical platform, “Ping An Good Doctor,” recorded a 10-fold increase in the number of users in the first weeks of the epidemic. The number of consultations has risen 9-fold, and following data published in mid-February, it has exceeded 1.1 billion visits.

Obviously, determining whether we are dealing with the flu or the coronavirus requires testing in a medical center. Nevertheless, teleconsultations make it possible to initially assess the general condition of the patient and take the first steps. Moreover, if it is necessary, doctors from other regions of the world can be asked to handle such consultations whenever the health care system is burdened as extremely as is currently the case in Wuhan in China. In extreme cases, a patient with a suspected coronavirus infection could be examined at home, provided that his or her general condition is good. After all, staying at home is the best prevention. What can also prove to be useful are new services, such as mobile applications for food delivery. Even buying public transport tickets online instead of touching vending machines reduces the transmission of viruses and bacteria – provided that we disinfect our own smartphone regularly.
Mass adaptation of wearables, such as smart-watches or fitness trackers, which regularly collect data on health parameters (including body temperature), could help detect the first symptoms of the disease and notify sanitary services. In this case, it would be possible to make a diagnosis as soon as the early symptoms appear, which would significantly limit the spread of the epidemic. However, this scenario is purely theoretical: only a small percentage of people use wearables, and privacy issues could be controversial.
Robotics
The simplest tool for fighting the Covid-19 epidemic is a touchless digital thermometer. Every day, the media show photos of medical workers or police officers measuring the body temperatures of passengers at airports. The result is available immediately, so it is possible to screen out people with a fever. Nevertheless, it needs to be noted that the efficiency of this method is limited – not every sick person has an elevated temperature, and someone might have already taken medications to lower it.
The sick are always quarantined, regardless of whether they need intensive hospital treatment or develop mild disease symptoms, because they may still infect others. When it comes to the scale of the Covid-19 outbreak in China, doctors, and nurses, who are overburdened with work, also become infected. This is why disinfecting robots that use ultraviolet light are now more often used in hospitals.

Telepresentation systems make it possible to complete the ward round without the physical presence of a doctor by the patients’ beds. In one of the hotels turned into quarantine wards, a robot called Little Peanut delivers food door-to-door. The patients just need to send a message via WeChat mobile app. For China, the epidemic is a test for the country’s innovativeness. Many companies have started intensive work on new versions of autonomous robots, which can, for example, replace people who patrol the streets and industrial infrastructure or those who deliver goods.

Artificial intelligence
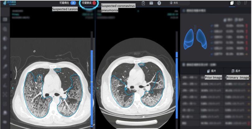
Zhongnan Hospital of Wuhan University was the first to use AI to fight the disease. To quickly diagnose patients reporting the symptoms of Covid-19, the hospital uses software developed by the Infervision startup. The system is based on artificial intelligence and analyzes lung X-rays to search for changes typical for patients infected with the virus. A few dozen Chinese hospitals have already implemented the system, which is an immense help to health facilities besieged by thousands of patients. In the case of the coronavirus, a quick diagnosis is critical, and this is where artificial intelligence comes in. The system improves itself by examining hundreds of thousands of medical scans of both healthy and sick patients. In this way, it can recognize typical early changes in the lungs, even if it is still an early stage of the disease. A similar AI-based system is helping 280 hospitals worldwide detect cancers from images.

Nowadays, health care systems have better access to data and solutions used to monitor the epidemiological situation. Tracking Covid-19 is available for everybody by checking an interactive map developed by the Center for Systems Science and Engineering (CSSE) at Johns Hopkins University. Ten years ago, it wouldn’t have been impossible.

Today, we can precisely monitor the development of the epidemic. Apart from prevention, it is essential for another reason. Society is well-informed, which enables us to avoid the worst-case scenario, which is mass panic. The World Health Organization encourages scientists, public institutions, private companies, and governmental health agencies all over the world to share available data about Covid-19. Since we are faced with the threat of a world pandemic, only joint actions can be effective.
Apps
Unlike wearables, almost everyone today has a mobile phone or a smartphone. In China, the government decided to mark citizens with colors using the so-called “Alipay Health Code.” The solution was implemented in the most popular mobile app in China Alipay, which has 230 million active users daily. Leveraging big data analytics, the system draws automated conclusions on an individual’s contagion risk. The users complete the form with personal details, the system generates a QR-code in one of three colorous. The green one means there are no restrictions for the citizen. If a yellow code is created, the person is asked to stay home for 7 days. The red one means two-weeks quarantine. Is such total monitoring justified in this case? That’s another issue.

Much has also been said about how AI could help develop a vaccine or a cure for the coronavirus. And it will surely be put to this use so that we can come up with an effective method of fighting the disease as soon as possible. As many scientists emphasize, for now, the priority is to understand the virus.
But one thing is for sure: today, we have at our disposal technologies which make us better prepared. We can react to epidemiological threats quicker and monitor them more precisely. Patients can stay home and visit patients using teleconsultations. We can communicate by Skype with quarantined relatives. Robots and drones can be used to disinfect hospitals and public spaces or deliver food for patients infected with the coronavirus. There are many more possibilities.
Dear Reader: To fightย #COVID19 all innovations should be applied. But it’s also essential to mention the most basic and the most powerful tools against the pandemic: washing hands, reducing social contacts, isolating yourself when feeling sick, behaving responsibly, helping those who need help in your neighborhood, and… last but not least – disinfecting the smartphones we used to touch hundreds time a day, for example when writing posts on LinkedIn or Twitter. Stay healthy!

I have a small favour to askโฆ
This content is free of charge. This website is free of commercials. Please support aboutDigitalHealth.com (โฌ1+). It only takes a minute. Thank you!
€1.00